Les prothèses dentaires occupent une place essentielle dans la santé bucco-dentaire et dans le confort quotidien des patients. Elles ne se limitent pas à remplacer une dent manquante : elles rétablissent la mastication, équilibrent la fonction occlusale et redonnent une harmonie au sourire.
Au Laboratoire dentaire AZM, nous accordons une attention particulière à la prothèse conjointe, en veillant à ce que chaque réalisation soit précise, durable, esthétique et parfaitement adaptée.
Arthur Zarakolu et Sébastien Milliasseau seront vos interlocuteurs directs. Leur accompagnement humain et technique assure un suivi de proximité et une communication claire avec chaque praticien.
Notre mission est claire : accompagner les praticiens dans leurs traitements, proposer des solutions fiables et personnalisées, et contribuer à améliorer la qualité de vie des patients. Si vous recherchez un partenaire de confiance, contactez dès aujourd’hui le Laboratoire dentaire AZM pour vos prothèses dentaires à Paris 11 – Île-de-France.
Qu’est-ce qu’une prothèse conjointe ?
La prothèse conjointe est une restauration fixe, conçue pour rester en bouche de manière permanente. Contrairement à une prothèse amovible, elle ne peut pas être retirée par le patient. Elle est solidement fixée, soit par scellement, soit par vissage, en fonction du plan de traitement et des attentes.
Elle peut remplacer une dent unique, plusieurs dents consécutives ou même une partie entière de l’arcade.
On distingue plusieurs types de prothèses conjointes, parmi lesquelles :
1. Les couronnes dentaires
2. Les bridges
3. Les facettes esthétiques
4. Les piliers implantaires
5. Les prothèses vissées et scellées
Chacune de ces options répond à une indication spécifique et contribue à restaurer la fonction et l’apparence du sourire.



Besoin d’aide ?
Contactez-nous via notre site ou par téléphone :
Les types des prothèses conjointes
1. Les couronnes dentaires
La couronne est probablement la restauration conjointe la plus répandue. Elle recouvre et protège une dent fragilisée, lui redonne sa forme anatomique et restaure sa fonction masticatoire. Elle est indiquée lorsqu’une dent a été dévitalisée, fracturée, fragilisée par une carie profonde ou simplement trop altérée pour supporter une restauration plus simple.
Différents matériaux peuvent être utilisés dans la fabrication des couronnes :
- Céramique : elle offre un rendu esthétique naturel et se rapproche au plus près de la dent d’origine.
- Zircone : elle combine solidité, fiabilité et esthétique, et convient parfaitement aux zones visibles.
- Métallo-céramique : composée d’une armature métallique recouverte de céramique, elle représente un excellent compromis entre résistance et esthétique.
- Alliages précieux (exemple : or) : particulièrement durables, ils sont utilisés dans certaines situations spécifiques.
Le choix du matériau dépend à la fois du contexte clinique, des attentes du praticien et des souhaits du patient.
2. Les bridges dentaires fixes
Le bridge est une prothèse fixe qui permet de remplacer une ou plusieurs dents manquantes en s’appuyant sur les dents voisines. Ces dents, appelées dents piliers, servent de support pour maintenir la restauration.
Les principaux avantages du bridge sont :
- Restaurer la mastication et la fonction occlusale
- Maintenir l’équilibre de la dentition et éviter les déplacements dentaires
- Conserver l’harmonie du sourire
- Offrir une solution stable, fixe et bien tolérée par le patient
Le bridge peut être réalisé en zircone, en céramique ou en alliage métallique. Chaque choix est dicté par les besoins cliniques et les attentes esthétiques.
3. Les facettes dentaires esthétiques
La facette est une fine coque en céramique collée sur la face visible d’une dent. Elle est utilisée principalement pour des raisons esthétiques et permet de corriger l’apparence des dents de manière peu invasive.
Les facettes sont indiquées pour :
- Corriger une coloration persistante résistante aux techniques de blanchiment
- Améliorer l’aspect d’une dent usée, abîmée ou légèrement fracturée
- Harmoniser la dentition lorsqu’il existe de petits désalignements
Très fines et translucides, elles offrent un rendu naturel et permettent de redonner confiance au patient, tout en préservant l’intégrité de la dent.
4. Les piliers implantaires
Les piliers implantaires assurent la liaison entre l’implant posé dans l’os et la prothèse définitive. Leur précision est capitale, car ils garantissent la stabilité, la durabilité et l’intégration harmonieuse de la prothèse.
Au Laboratoire dentaire AZM, nous fabriquons des piliers compatibles avec les principaux systèmes implantaires :
- Nobel Biocare®
- Straumann®
- Dentsply®
- Camlog®
- Clones Branemark®
Cette compatibilité élargie permet au praticien de garder ses habitudes, tout en bénéficiant d’une fabrication sur mesure.
5. Prothèses vissées et scellées
Selon la situation clinique et les besoins spécifiques du patient, une prothèse conjointe peut être fixée de deux manières principales : vissée ou scellée.
Prothèse vissée :
- Retrait facile lors d’un contrôle ou d’un ajustement.
- Maintenance simplifiée en cas de réparation.
- Grande accessibilité pour le praticien.
Prothèse scellée :
- Esthétique discrète grâce à l’absence de vis apparente.
- Sensation plus naturelle pour le patient.
- Solution durable et stable sur le long terme.
Ces deux options répondent à des indications différentes, et notre rôle est d’accompagner le praticien dans ce choix.



Nos engagements techniques et humains
Des matériaux fiables et adaptés
Chaque patient étant unique, chaque prothèse doit être conçue en fonction de ses besoins précis. Pour cela, nous utilisons une large gamme de matériaux sélectionnés pour leur biocompatibilité et leur fiabilité :
- Zircone, résistante et esthétique
- Titane, reconnu pour sa légèreté et sa tolérance biologique
- Or, durable et sûr dans certains cas particuliers
- Chrome Cobalt, solide et fiable
- Céramique pressée, esthétique et fine
- Résines haute performance, adaptées à certains usages spécifiques
Cette diversité nous permet d’apporter une réponse adaptée, que ce soit en implantologie, en orthodontie ou pour des restaurations classiques.
L’accompagnement humain et technique
Au Laboratoire dentaire AZM, vous êtes accompagné directement par Arthur Zarakolu et Sébastien Milliasseau. Ils assurent un suivi personnalisé, répondent aux questions techniques et conseillent sur les choix de matériaux comme sur les délais de réalisation.
Nous croyons à la valeur du dialogue entre praticien et prothésiste. La communication est pour nous essentielle, car elle garantit une meilleure coordination et des résultats conformes aux attentes du patient.
Une fabrication française et traçable
Toutes nos prothèses conjointes sont fabriquées en France. À l’exception de certaines étapes d’usinage réalisées grâce à des scanners spécifiques, l’ensemble du processus de fabrication et de contrôle qualité reste local.
Ce choix nous permet de garantir :
- Une traçabilité claire et conforme aux normes européennes
- L’utilisation de matériaux certifiés et fiables
- La valorisation du savoir-faire français en prothèse dentaire
Nous attachons également une grande importance à la transmission, en formant les prothésistes de demain.
Le rôle des technologies numériques
La technologie CFAO (Conception et Fabrication Assistée par Ordinateur) fait aujourd’hui partie intégrante de notre activité. Elle permet d’améliorer la précision, de réduire les marges d’erreur et d’obtenir une meilleure reproductibilité.
Cependant, la machine ne remplace pas le geste artisanal. Le savoir-faire manuel du prothésiste reste essentiel pour affiner les finitions et garantir une esthétique naturelle. C’est l’alliance entre la technologie numérique et l’expérience humaine qui fait la force de notre travail.
Délais et organisation
Nous savons combien les délais sont importants pour le praticien comme pour le patient. C’est pourquoi nous nous engageons à respecter des délais raisonnables, adaptés aux besoins cliniques, sans jamais négliger la qualité.
Chaque prothèse est rigoureusement contrôlée avant livraison. Cette étape garantit un travail précis, conforme aux attentes et aux exigences de la profession.
Une écoute permanente
Chaque praticien a ses propres habitudes, son approche et ses attentes. Nous nous adaptons à cette diversité pour offrir une collaboration efficace et personnalisée.
Nous organisons régulièrement des échanges et des formations, afin de partager les évolutions techniques et de renforcer le lien entre praticiens et prothésistes.
Redonner le sourire avec les prothèses dentaires
La prothèse conjointe ne se limite pas à restaurer la fonction masticatoire. Elle contribue aussi fortement à l’esthétique et au bien-être psychologique. Retrouver un sourire harmonieux redonne confiance au patient, tant dans sa vie personnelle que professionnelle.
Nous attachons donc une attention particulière à l’intégration esthétique de chaque prothèse. La forme, la teinte et la translucidité sont soigneusement étudiées pour s’harmoniser avec les dents naturelles et offrir un rendu discret et naturel.
Contactez dès aujourd’hui le Laboratoire dentaire AZM pour vos prothèses dentaires à Paris 11 – Île-de-France et bénéficiez d’un accompagnement attentif, durable et professionnel.
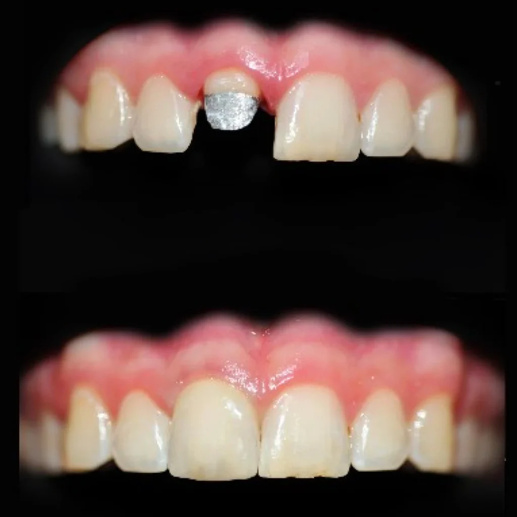
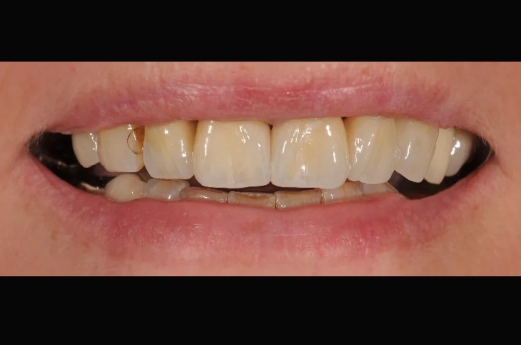
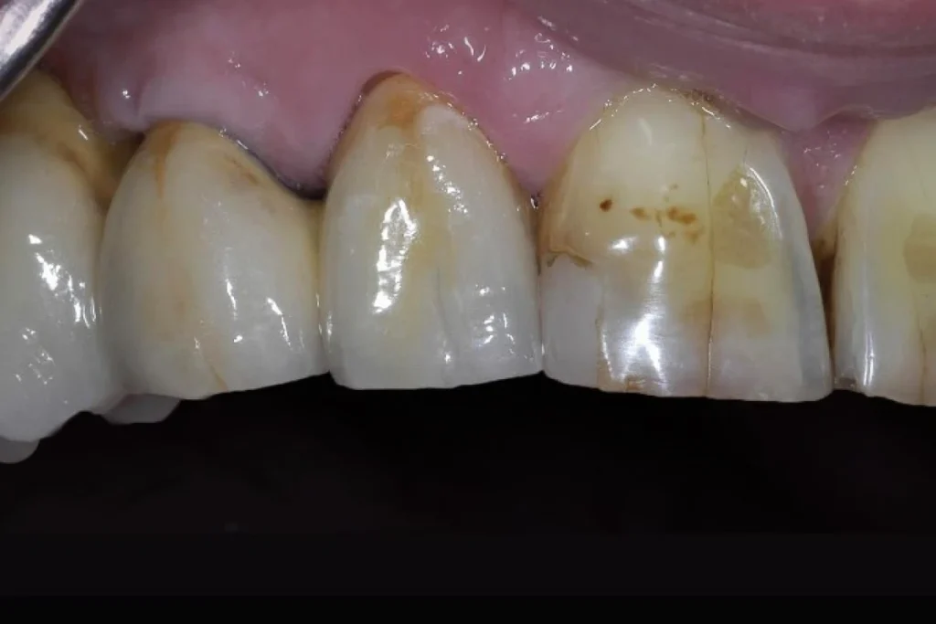
Découvrez nos cas cliniques






La prothèse conjointe est une solution incontournable pour restaurer dents, sourire et confiance. Elle représente un équilibre entre fonction, confort et esthétique.
Au Laboratoire dentaire AZM, nous travaillons chaque jour avec rigueur, précision et proximité avec les praticiens. Nos prothèses sont conçues pour répondre aux exigences cliniques tout en respectant les attentes humaines des patients.