Les prothèses dentaires jouent un rôle majeur dans la santé bucco-dentaire et dans le bien-être quotidien des patients. Au Laboratoire dentaire AZM, nous accordons une grande importance à la prothèse adjointe, en proposant des solutions confortables, esthétiques et durables.
Arthur Zarakolu et Sébastien Milliasseau seront vos interlocuteurs directs. Leur mission est d’assurer un accompagnement humain et technique, du conseil initial à la réalisation finale.
Si vous recherchez un partenaire de confiance, contactez dès aujourd’hui le Laboratoire dentaire AZM pour vos prothèses dentaires à Paris 11 – Île-de-France.
Besoin d’aide ? Contactez-nous via notre site ou par téléphone :
La prothèse adjointe est une restauration amovible qui remplace une ou plusieurs dents manquantes. Elle peut être partielle, lorsqu’elle conserve des dents restantes, ou complète lorsqu’elle restaure une arcade entière. Contrairement à la prothèse conjointe, elle peut être retirée par le patient pour l’entretien et le nettoyage. Elle constitue ainsi une alternative pratique, adaptable et accessible.
Les principaux types de prothèses adjointes à Paris 11 – Île-de-France sont :
La prothèse partielle amovible (PPA)
La prothèse complète amovible (PCA)
La prothèse amovo-inamovible
La prothèse implanto-portée
Les types de prothèses adjointes
1. Prothèse partielle amovible (PPA)
La PPA vient remplacer une ou plusieurs dents absentes tout en s’appuyant sur les dents existantes. Elle est maintenue grâce à des crochets ou à des attaches discrètes et représente une solution fonctionnelle, économique et relativement rapide à mettre en place. Elle convient particulièrement aux patients qui souhaitent une solution accessible tout en préservant les dents restantes.
2. Prothèse complète amovible (PCA)
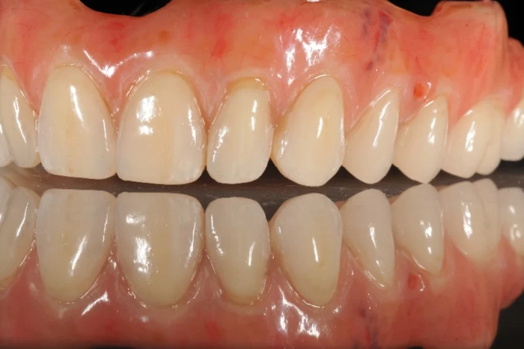
Aussi appelée dentier, la PCA remplace toutes les dents d’une arcade et s’appuie directement sur la gencive. Les résines modernes et composites de dernière génération améliorent nettement son confort, sa stabilité et son adaptation. Elle est une solution éprouvée qui permet de retrouver à la fois la mastication et une esthétique satisfaisante.
3. Prothèse amovo-inamovible
Cette prothèse associe la stabilité d’une prothèse fixe et la praticité d’une amovible. Fixée sur une structure implantaire, elle offre un excellent maintien et un confort accru, tout en pouvant être retirée par le praticien si nécessaire. Elle représente une solution intermédiaire entre l’amovible classique et l’implanto-portée, idéale pour des patients recherchant équilibre et sécurité.
4. Prothèse implanto-portée
Reposant sur des implants, souvent renforcés par des barres ou systèmes PIB, elle garantit une excellente stabilité, un confort supérieur et préserve l’os alvéolaire. Elle constitue une option moderne, durable et hautement fiable pour les patients recherchant une solution de long terme, fonctionnelle et esthétique.
Découvrez nos cas cliniques :
Notre savoir-faire et nos engagements
Les matériaux et la qualité
La qualité des matériaux est au cœur de notre démarche. Nous sélectionnons des alliages résistants pour les châssis métalliques, des résines durables pour le confort, ainsi que des composites esthétiques pour des finitions précises. Les dents du commerce sont choisies selon le profil du patient : forte demande esthétique, présence éventuelle de bruxisme ou recherche de longévité. Cette diversité garantit des solutions parfaitement adaptées à chaque situation.
L’esthétique et la personnalisation
L’esthétique est une attente forte des patients. Nous maîtrisons la polychromie pour donner un aspect naturel aux dents en résine et proposons des fausses gencives en composite, reproduisant fidèlement la muqueuse. Ces techniques permettent de concevoir des prothèses modernes, discrètes et harmonieuses, qui redonnent un sourire naturel et confiant.
La CFAO et les nouvelles technologies
La CFAO (Conception et Fabrication Assistée par Ordinateur) occupe une place importante dans notre pratique. Elle nous permet de réaliser des restaurations précises et des barres implantaires parfaitement ajustées. Associée au savoir-faire artisanal de nos prothésistes, cette technologie garantit un équilibre idéal entre innovation et tradition.
Une prise en charge pour tous les cas :
Nous intervenons sur tous types de cas, des restaurations les plus simples aux demandes les plus complexes.
Cas simples : petites restaurations amovibles, confort de base et facilité d’adaptation.
Cas esthétiques : intégration discrète, teintes harmonisées, polychromie travaillée.
Cas complexes : patients bruxomanes, pertes importantes de dents, besoin de stabilité renforcée.
Métal, résine, composite : chaque matériau est travaillé avec soin pour assurer robustesse, confort et esthétique. Ce haut niveau d’exigence s’applique à chaque étape du processus et garantit une solution adaptée à chaque patient.
Nos engagements techniques et humains
Nos engagements reposent sur plusieurs piliers : le choix de matériaux fiables et biocompatibles, garants de confort et de longévité ; un accompagnement personnalisé assuré par Arthur Zarakolu et Sébastien Milliasseau ; une fabrication française et une traçabilité rigoureuse conforme aux normes européennes. Nous tenons également à préserver le savoir-faire local et à transmettre cette expertise aux futurs professionnels.
Délais, contrôle et qualité
Nous respectons des délais adaptés tout en privilégiant la qualité. Chaque prothèse est contrôlée avec rigueur avant sa livraison, afin de garantir un travail soigné et conforme aux attentes des praticiens comme des patients.
Restaurer la fonction et redonner le sourire
Une prothèse adjointe ne se limite pas à remplacer des dents manquantes. Elle redonne confiance, améliore la qualité de vie et permet de retrouver un sourire harmonieux. Chaque réalisation vise à offrir confort, esthétique et sérénité au quotidien.
Contactez dès aujourd’hui le Laboratoire dentaire AZM pour vos prothèses dentaires à Paris 11 – Île-de-France et bénéficiez d’un accompagnement attentif, durable et professionnel.
La prothèse adjointe constitue une réponse essentielle pour de nombreux patients. Elle combine fonctionnalité, confort et esthétique, tout en restant accessible. Au Laboratoire dentaire AZM, nous plaçons l’écoute, la proximité et la qualité au centre de notre démarche.
Pour offrir les meilleures expériences, nous utilisons des technologies telles que les cookies pour stocker et/ou accéder aux informations des appareils. Le fait de consentir à ces technologies nous permettra de traiter des données telles que le comportement de navigation ou les ID uniques sur ce site. Le fait de ne pas consentir ou de retirer son consentement peut avoir un effet négatif sur certaines caractéristiques et fonctions.
Fonctionnel
Toujours activé
L’accès ou le stockage technique est strictement nécessaire dans la finalité d’intérêt légitime de permettre l’utilisation d’un service spécifique explicitement demandé par l’abonné ou l’utilisateur, ou dans le seul but d’effectuer la transmission d’une communication sur un réseau de communications électroniques.
Préférences
L’accès ou le stockage technique est nécessaire dans la finalité d’intérêt légitime de stocker des préférences qui ne sont pas demandées par l’abonné ou l’internaute.
Statistiques
Le stockage ou l’accès technique qui est utilisé exclusivement à des fins statistiques.Le stockage ou l’accès technique qui est utilisé exclusivement dans des finalités statistiques anonymes. En l’absence d’une assignation à comparaître, d’une conformité volontaire de la part de votre fournisseur d’accès à internet ou d’enregistrements supplémentaires provenant d’une tierce partie, les informations stockées ou extraites à cette seule fin ne peuvent généralement pas être utilisées pour vous identifier.
Marketing
L’accès ou le stockage technique est nécessaire pour créer des profils d’internautes afin d’envoyer des publicités, ou pour suivre l’utilisateur sur un site web ou sur plusieurs sites web ayant des finalités marketing similaires.