Au Laboratoire dentaire AZM, la gamme « Excellence » est portée par Sébastien Milliasseau, Meilleur Ouvrier de France en prothèse dentaire. Ce titre prestigieux consacre des années de travail, de rigueur et de passion au service de la qualité et du détail. Avec cette gamme, nous mettons à votre disposition une exigence qui dépasse la simple fabrication, pour transformer chaque prothèse en une véritable œuvre d’art fonctionnelle.
Une attention extrême à chaque étape
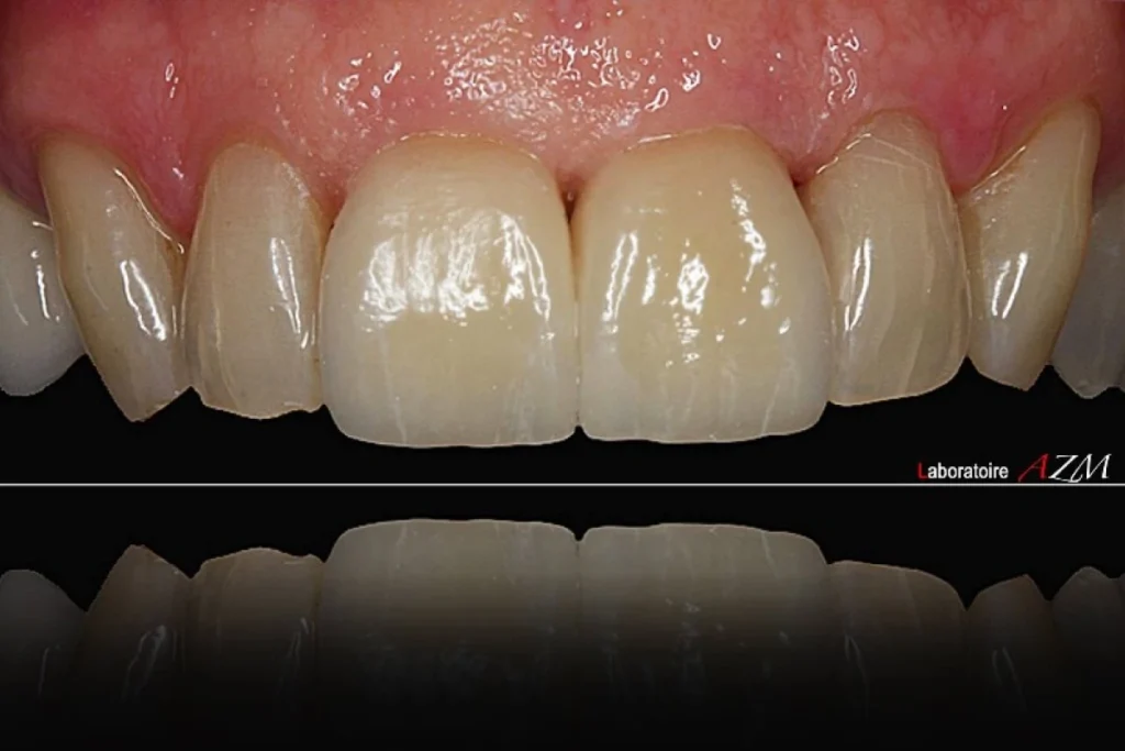
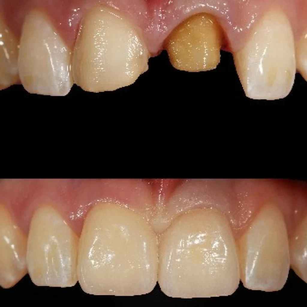
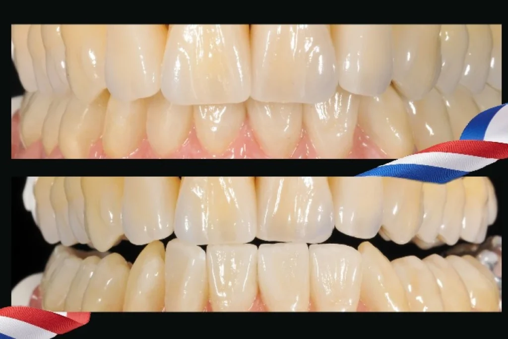
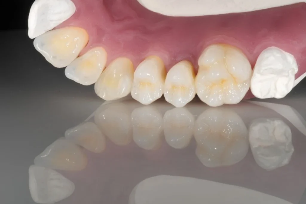
La gamme « Excellence » regroupe l’ensemble des spécialités de notre laboratoire. La différence se joue dans l’attention extrême portée à chaque détail, de la couronne unitaire à la reconstitution complète.
Chaque prothèse est conçue avec :
- une communication renforcée entre praticien et laboratoire,
- une sélection rigoureuse des matériaux,
- une recherche constante d’équilibre entre esthétique et fonctionnalité,
- une volonté de placer le patient au centre du processus.
Ainsi, chaque réalisation devient unique et pensée pour durer dans le temps.



La reconnaissance du titre de Meilleur Ouvrier de France
En 2015, Sébastien Milliasseau a obtenu la distinction de Meilleur Ouvrier de France en prothèse dentaire. Ce titre n’est pas une fin, mais une direction. Il témoigne d’un engagement profond, de sacrifices et d’une volonté inébranlable de donner le meilleur de soi.
Être MOF, c’est :
- viser l’excellence sans compromis,
- transmettre un savoir-faire d’exception,
- préserver l’artisanat français dans un secteur en constante évolution,
- travailler chaque jour avec humilité et passion.
Ce parcours, marqué par l’effort, le doute et la persévérance, se reflète dans la qualité des réalisations que nous vous proposons aujourd’hui.
Une gamme pensée pour les praticiens et les patients
La gamme « Excellence » ne se limite pas à une démonstration de savoir-faire. Elle est conçue pour répondre aux attentes réelles des praticiens et des patients.
- Pour le praticien, elle garantit un travail parfaitement adapté, prêt à être posé.
- Pour le patient, elle assure confort, précision et esthétique.
Chaque prothèse devient un bijou discret, pensé pour redonner le sourire et restaurer la fonction masticatoire avec fiabilité.
Contactez dès aujourd’hui le Laboratoire dentaire AZM pour vos prothèses dentaires à Paris 11 :
Avec la gamme « Excellence », le Laboratoire dentaire AZM met à votre service l’exigence et la précision d’un Meilleur Ouvrier de France. Chaque cas est traité avec une attention unique, afin que la prothèse réalisée soit à la hauteur de vos attentes et de celles de vos patients.
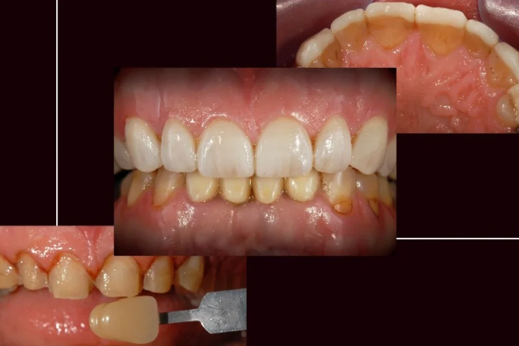
Découvrez nos cas cliniques :











